A pericardite é uma condição frequentemente encontrada na prática clínica e pode representar um desafio diagnóstico, especialmente devido à sua semelhança com emergências cardiológicas, como a síndrome coronariana aguda. Suas diversas etiologias e apresentações exigem uma abordagem criteriosa para garantir um manejo adequado e prevenir complicações graves, como tamponamento cardíaco e a pericardite constritiva. Este artigo busca revisar os principais aspectos clínicos, diagnósticos e terapêuticos da pericardite.
O que é a pericardite?
O pericárdio é um saco fibroeslástico formado pelas camadas visceral e parietal, separadas por um espaço virtual, que seria a cavidade pericárdica. Essa cavidade, em indivíduos saudáveis, contém de 15 a 50 mL de um ultrafiltrado do plasma, que serve para facilitar o deslizamento das camadas pericárdicas quando o coração se movimenta.
A pericardite, por sua vez, refere-se à inflamação do saco pericárdico, que geralmente cursa com acúmulo de líquido no espaço pericárdico, o que pode causar uma série de repercussões negativas para o indivíduo.

A pericardite pode ser classificada de diversas formas. Quanto ao tempo, elas são classificadas em:
- Pericardite Aguda: a mais comum, em que a inflamação se desenvolve rapidamente, com duração inferior a 4-6 semanas, podendo causar derrame pericárdico.
- Pericardite Incessante: recorrente dentro de 6 semanas após a interrupção do tratamento
- Pericardite recorrente: nos casos em que há retorno dos sintomas após período assintomático de pelo menos quatro a seis semanas
- Pericardite crônica: quando a inflamação persiste por mais de 3 meses. Ela pode se manifestar como uma pericardite crônica efusiva, em que há o acúmulo persistente de líquido na cavidade pericárdica (derrame pericárdico crônico) e a pericardite constritiva.
Na pericardite constritiva, a inflamação persistente leva à fibrose e ao espessamento do pericárdio. Como o nome já diz, esse tipo de pericardite, diante do engrossamento das camadas do pericárdio, acabam por “constringir o coração” dentro da cavidade torácica.

Compreendendo as causas da pericardite
As causas da pericardite variam conforme a sua classificação.
Pericardite aguda
Na pericardite aguda, o tipo mais frequente, na maioria das vezes é idiopática. Contudo, dentre as causas identificáveis, ocorrem mais devido às infecções virais, podendo também ser de etiologia tuberculosa, urêmica, relacionadas ao infarto (7% a 12% dos casos), autoimunes (como lúpus), por radioterapia, por infecções bacterianas (pericardite purulenta).
Muitas vezes, a etiologia viral é presumida diante da sua incidência, visto que o agente específico nem sempre é identificado. Ainda assim, em países em desenvolvimento, como o Brasil, a tuberculose ainda é uma causa relevante, especialmente em populações vulneráveis, como pessoas imunossuprimidas ou em regiões com alta prevalência da doença.
{{banner-cta-blog}}
Pericardite constritiva
A pericardite constritiva, de modo geral, pode ocorrer após uma pericardite aguda de praticamente qualquer etiologia. Nas populações com maiores recursos, maioria dos casos é idiopática e pós-tratamento (como uso de radiação em casos de câncer de mama). Já nos pacientes com poucos recursos, as etiologias infecciosas são mais prevalentes, como tuberculose (principalmente) e pericardite purulenta.
Identificando os sinais clínicos da pericardite
Pericardite aguda

Pode apresentar uma variedade de sinais e sintomas inespecíficos, dependendo da etiologia subjacente. Dentre as principais manifestações clínicas, é válido mencionar:
- Dor no peito: geralmente aguda e pleurítica, melhora ao sentar-se e inclinar-se para frente. Frequente em mais de 95% dos casos, é importante que o paciente que chega na emergência com esse sintoma busque diagnósticos diferenciais que tenham iminente risco de vida.
- Atrito pericárdico: se aproxima de um tipo de chiado auscultado sobre a borda esternal esquerda. Altamente específico de pericardite aguda.
- Alterações no eletrocardiograma (ECG): Elevação generalizada do segmento ST e depressão do segmento PR.
- Derrame pericárdico: relativamente comum nos casos de pericardite aguda.
Além desses sintomas, casos de pericardite aguda do tipo infecciosa também podem cursar com sinais e sintomas de infecção sistêmica, como febre e leucocitose. Além disso, a clínica da pericardite de etiologia viral pode ser precedida por sintomas respiratórios e gastrointestinais, se assemelhando a um quadro viral.
Pericardite constritiva
Geralmente, se desenvolvendo meses a anos após um acometimento inicial ao pericárdio, nesse tipo de pericardite, o paciente irá apresentar sintomas relacionados à sobrecarga de fluidos, à diminuição do débito cardíaco sob esforços ou/e em repouso.
Na ordem de maior para menor incidência, pessoas com pericardite constritiva podem apresentar: sintomas de insuficiência cardíaca, dor no peito, sintomas abdominais, arritmia atrial e sintomas de redução do débito cardíaco.
Além disso, 93% dos pacientes desenvolvem elevação da pressão venosa jugular. Outros sinais menos comuns são: pulsus paradoxus, sinal de Kussmaul, edema periférico, ascite e/ou caquexia.

Diagnóstico da pericardite
De modo geral, o diagnóstico de pericardite pode ser feito mediante uma clínica sugestiva aliada a realização de exames, tais como: ECG e radiografia de tórax; ecocardiograma e exames para identificar a causa.
Pericardite Aguda

Além do histórico e exame físico, os testes iniciais nos casos suspeitos são:
- ECG
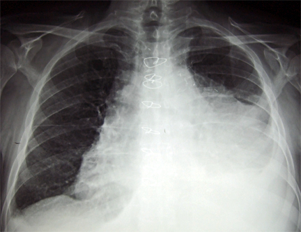
- Radiografia de tórax: tipicamente normal, mas nos casos em que cursam com derrame pericárdico, pode ser visto silhueta cardíaca aumentada com campos pulmonares claros.
- Ecocardiograma: apesar de ser normal em paciente com clínica de pericardite aguda, deve ser feito o quanto antes em caso de suspeita de tamponamento cardíaco. Ainda assim, a ausência de derrame ou outras anormalidades não exclui o diagnóstico.
- Hemograma completo, sinais de troponina, velocidade de hemossedimentação e nível sérico de proteína C-reativa: a pericardite geralmente cursa com aumento nos biomarcadores séricos de lesão miocárdica, como a troponina. Além disso, como se trata de uma doença inflamatória, será visto também aumento dos glóbulos brancos, velocidade de hemossedimentação e proteína C-reativa.
O diagnóstico de pericardite aguda é estabelecido quando pelo menos dois dos seguintes critérios estão presentes:
- Dor torácica típica: de início súbito, com característica pleurítica, que se intensifica na posição supina e alivia ao sentar-se e inclinar-se para frente.
- Atrito pericárdico: som superficial de fricção ou chiado, melhor auscultado com o diafragma do estetoscópio sobre a borda esternal esquerda.
- Alterações eletrocardiográficas: padrão característico, geralmente com elevação difusa do segmento ST.
- Derrame pericárdico: novo ou com aumento do volume em exames de imagem.
Pericardite Constritiva
Assim como na aguda, a anamnese e o exame físico são essenciais para nos levar a suspeita de pericardite constritiva: sinais de insuficiência cardíaca direita, turgência jugular, hepatomegalia e edema periférico.
- ECG: alterações iguais a do tipo agudo
- Ecocardiograma: pode evidenciar espessamento pericárdico e padrões de enchimento ventricular restritivo
- Tomografia computadorizada e Ressonância magnética cardíaca: além de identificar espessamento e calcificações pericárdicas, nos ajuda na avaliação da extensão do comprometimento pericárdico.
{{banner-cta-blog}}
Tratamento para a pericardite
Pericardite Aguda
Na maioria dos casos de pericardite aguda, idiopática ou viral, é recomendado o uso de terapia combinada com um anti-inflamatório não esteroidal (AINE) e colchicina. Dentre os AINEs mais utilizados, temos o ibuprofeno e a aspirina, que serão associados à colchicina.
Vale ressaltar que nos casos de pericardite pós infarto agudo do miocárdio, recomenda-se que o AINE seja a aspirina, que será associada a colchicina, uma vez que outros AINEs podem interferir na cicatrização e na formação de tecido fibroso.
Além disso, nos casos de pacientes que apresentam contraindicação ao uso de AINEs, poderá ser substituído por glicocorticóides na menor dose possível e que seja eficaz. O paciente deve também se ausentar da realização de atividades físicas até a resolução clínica e normalização dos biomarcadores inflamatórios, uma vez que tais práticas podem desencadear recorrência dos sintomas.
Pericardite Constritiva
No caso da pericardite constritiva, não podemos esquecer do tratamento da causa base, como tuberculose, neoplasia ou doenças reumáticas e sistêmicas. Nesse tipo de pericardite, a pericardiectomia é o único tratamento definitivo. Para o procedimento, o paciente deve atender a todos os critérios a seguir:
- Persistência ou recorrência dos sintomas, mesmo após um período de 4 a 12 meses de tratamento com inibidores da IL-1;
- Presença de sintomas moderados a graves, correspondentes à Classe Funcional III ou IV da NYHA;
- A pericardite constritiva não evoluiu para um estágio terminal;
- Não há evidências de miocardiopatia restritiva associada, como lesão cardíaca decorrente de radiação;
- Ausência de comorbidades significativas, como insuficiência renal terminal ou disfunção ventricular sistólica, que possam aumentar os riscos cirúrgicos.
A terapia diurética pode ser usada de forma temporária, ou nos casos de pacientes que não são candidatos à cirurgia.
Conclusão
A pericardite é uma inflamação do pericárdio, frequentemente de origem idiopática ou viral, podendo evoluir para formas mais graves, como a pericardite constritiva. Clinicamente, manifesta-se com dor torácica pleurítica, atrito pericárdico e alterações no ECG. O diagnóstico é baseado na avaliação clínica e exames complementares, como ecocardiograma e ressonância magnética. O tratamento da pericardite aguda envolve anti-inflamatórios e colchicina, enquanto a pericardite constritiva pode necessitar de pericardiectomia. A abordagem adequada é essencial para evitar complicações como tamponamento cardíaco e insuficiência cardíaca.
Continue aprendendo:
- Síndrome coronariana aguda: como é realizado o tratamento não intervencionista?
- Insuficiência cardíaca crônica: fisiopatologia, causas e tratamento
- Insuficiência venosa periférica: o que é, causa e diagnóstico
FONTES:
- Imazio M, Gaita F, LeWinter M. Evaluation and Treatment of Pericarditis: A Systematic Review [published correction appears in JAMA 2015 Nov 10;314(18):1978] [published correction appears in JAMA 2016 Jan 5;315(1):90. Dosage error in article text]. JAMA 2015;314(14):1498-1506. doi:10.1001/jama.2015.12763
- Corey GR, Campbell PT, Van Trigt P, et al. Etiology of large pericardial effusions. Am J Med 1993;95(2):209-213. doi:10.1016/0002-9343(93)90262-n
- Adler Y, Charron P, Imazio M, et al. 2015 ESC Guidelines for the diagnosis and management of pericardial diseases: The Task Force for the Diagnosis and Management of Pericardial Diseases of the European Society of Cardiology (ESC)Endorsed by: The European Association for Cardio-Thoracic Surgery (EACTS). Eur Heart J 2015; 36:2921.
- Welch TD. Constrictive pericarditis: diagnosis, management and clinical outcomes. Heart 2018; 104:725.
- Chiabrando JG, Bonaventura A, Vecchié A, et al. Management of Acute and Recurrent Pericarditis: JACC State-of-the-Art Review. J Am Coll Cardiol 2020; 75:76.
- Imazio M, Gaita F, LeWinter M. Evaluation and Treatment of Pericarditis: A Systematic Review. JAMA 2015; 314:1498.
+400 de aulas de medicina para assistir totalmente de graça
Todas as aulas são lideradas por autoridades em medicina.




.jpeg)




.png)
