Por: Ellen Kosminsky
O abdome agudo obstrutivo é uma causa potencialmente fatal de dor abdominal. Tem como média de incidência 64 anos, e 60% desses pacientes são do sexo feminino. Além disso, o intestino delgado é o órgão afetado em aproximadamente 75% dos casos de obstrução intestinal. E mais, para além do abdome agudo obstrutivo, existem outros quatro tipos de abdome agudo: inflamatório, hemorrágico, perfurativo e vascular.
O que é abdome agudo obstrutivo?
Esta é uma síndrome na qual há uma parada ou retardo significativo da progressão do conteúdo gastrointestinal. Assim, esse não consegue progredir até o reto, impossibilitando a eliminação pelo organismo.
Pode ser classificado em uma obstrução intestinal alta ou baixa. A obstrução alta ocorre acima do ângulo de Treitz. Já a obstrução intestinal baixa ocorre abaixo deste ângulo. Além disso, o abdome agudo obstrutivo pode ser também classificado em mecânico ou funcional.

A obstrução mecânica pode ser classificada de acordo com a localização do processo oclusivo. Assim, pode acometer a região intraluminal, da parede intestinal e extraintestinal. No intestino delgado, cerca de 80% das obstruções intestinais tem causa mecânica.
Causas do abdome agudo obstrutivo
As principais etiologias da obstrução alta são as bridas e as hérnias. Já na obstrução baixa, destacam-se o volvo e os tumores. Abaixo, encontra-se uma tabela com as principais causas de obstrução intestinal mecânica, de acordo com sua localização em relação à alça.
Assim, os principais fatores de risco para a obstrução intestinal são as cirurgias abdominais ou pélvicas, as hérnias inguinais ou abdominais e as doenças inflamatórias intestinais. E mais, a história ou risco aumentado para as neoplasias, radioterapia prévia e história de ingestão de corpo estranho.
As neoplasias são importantes causas de obstrução intraluminal. Sendo a causa mais comum de obstrução do intestino grosso o adenocarcinoma de cólon. Já a intussuscepção, uma obstrução mecânica da parede intestinal, é mais comum em crianças.
Nas lesões extraintestinal, as bridas destacam-se como a principal causa de obstruções no adulto, e ocorrem com maior frequência nas cirurgias de andar inferior do abdome. Para mais, hérnias externas também são passíveis de causar obstruções.
Já a obstrução funcional tem como principal causa o íleo paralítico. Sendo esse caracterizado pela parada de eliminação de gases e fezes na ausência de uma oclusão. Pode estar associado a náuseas, vômitos, distensão abdominal e dor difusa. E ainda, a peristalse e os ruídos abdominais estão comumente diminuídos ou ausentes.
São causas importantes de íleo paralítico as laparotomias, os distúrbios hidroeletrolíticos, o uso de drogas, os processos inflamatórios intra-abdominais, hemorragias retroperitoneais, a isquemia intestinal e a sepse.
Quais são os sintomas?
São importantes sinais do abdome agudo obstrutivo a presença do abdome distendido e timpânico. Isso ocorre devido ao acúmulo de gás engolido pelo indivíduo, bem como pelos gases produzidos pela fermentação bacteriana no conteúdo luminal estagnado.
Além disso, a presença de vômitos - mais frequente nas obstruções do duodeno e jejuno proximal - é um sinal cardinal para a obstrução intestinal. Quando a obstrução for proximal, é possível que a desidratação seja acompanhada de hipocloremia, hipocalcemia e alcalose metabólica, secundários aos vômitos contendo suco gástrico. Por fim, a ausência de fezes e/ou flatos são também importantes sinais cardinais.
A obstrução intestinal aguda é também caracterizada pela presença de ruídos hidroaéreos de alta frequência, denominados de “sons metálicos”. Esses ocorrem porque, com a obstrução da alça, essa perde progressivamente sua capacidade de absorção, cursando com acúmulo de líquido e, consequentemente, aumento da pressão hidrostática, provocando as peristalses reflexas.
Para mais, a presença da dor em cólica, tipicamente em região periumbilical, também é um sintoma comum. Ocorre em intervalos de 4 a 5 minutos, devido a peristalse da alça “empurrando” o conteúdo intraluminal. E mais, varia de acordo com o local e a duração da obstrução (se proximal ou distal), bem como com o grau da obstrução (se parcial ou completa).
Caso haja uma progressão da dor em cólica para uma dor bem localizada e constante, é preciso considerar a possibilidade de irritação peritoneal secundária à necrose de alça. Isso porque, à medida que a obstrução se torna mais grave, há um aumento da compressão dos ductos linfáticos e das vênulas da mucosa da alça, reduzindo sua função de absorção.
Assim, esse quadro de estase venosa e o aumento da pressão hidrostática mencionada anteriormente podem provocar redução da perfusão da parede. E ainda, em caso de progressão para uma dor abdominal severa, deve-se considerar a possibilidade de perfuração de alça.
Além disso, taquicardia e hipotensão, quando presentes, devem levantar suspeita de desidratação, que pode ocorrer devido ao quadro de perda de líquidos para o terceiro espaço na região da alça. Por fim, com a progressão do quadro de obstrução, as alças vão tornando-se hipoativas, e os ruídos hidroaéreos irão cessar, até completa parada do peristaltismo.
Para você ficar sabendo todos os detalhes temos uma aula exclusiva que trata desse assunto, confira no nosso streaming de atualização médica. O Medclub Prime tem um preço que cabe no seu bolso e vai te manter atualizado, o que é muito importante para o seu dia-a-dia
Como realizar o diagnóstico?
O diagnóstico do abdome agudo obstrutivo é clínico-radiológico. Assim, deve-se questionar ao paciente quanto a sua idade, o tempo de início do quadro e a característica da dor. Bem como se há presença de flatos e/ou fezes, se ele realizou alguma cirurgia prévia, e se houve perda de peso associada.
Para mais, é preciso perguntar se há presença de vômitos. Caso sejam frequentes e biliares, a hipótese diagnóstica deve ser direcionada para uma obstrução alta. Se apresentaram início tardio - após a distensão abdominal - e são fecalóides, a principal hipótese é de uma obstrução baixa. O toque retal também é fundamental, e visa observar a presença de possíveis fecalomas na ampola retal, fezes no dedo de luva e massas intraluminais.
Além da história clínica do paciente, deve-se solicitar exames laboratoriais: hemograma completo, PCR e eletrólitos, uréia e creatinina. Esses parâmetros irão auxiliar na avaliação de gravidade, hipovolemia, leucocitose e anormalidades metabólicas. Além disso, sendo evidenciado um quadro de gravidade, deve-se colher uma gasometria arterial.
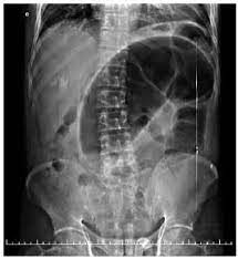
Para mais, em caso de suspeita de abdome agudo obstrutivo solicita-se um raio-X de abdome em pé e deitado e um raio-X de tórax em pé. Esse último visa identificar possível pneumoperitônio (sinal do crescente), decorrente de ruptura de alças, que indica necessidade de abordagem cirúrgica imediata.

Para além desse achado, também é possível evidenciar no raio-X de abdome do paciente com abdome agudo obstrutivo a presença de nível hidroaéreo e aumento da espessura das alças com presença de haustrações. E ainda, na presença de uma obstrução total, haverá ausência de gás nos cólons e no reto.

Por fim, no paciente com volvo de sigmóide, é possível observar o sinal do “U invertido”, também conhecido como sinal do “grão de café”. E mais, apesar do uso do contraste não ser realizado de rotina no raio-X do paciente com obstrução intestinal, na presença de volvo sigmóide, pode ser possível observar o sinal do “bico de pássaro”.


Para mais, caso o raio-X não evidencie achados que indiquem intervenção cirúrgica imediata, recomenda-se a realização de uma tomografia computadorizada (TC) de abdome, a fim de avaliar o local em que está ocorrendo a obstrução. São achados que devem elevar as suspeitas de obstrução quando houver presença de nível hidroaéreo e dilatação das vísceras.

Se você quiser saber mais sobre este assunto acesse o nosso streaming de atualização médica, para assistir de onde e quando quiser. Sabe aquela dúvida que aparece no meio do plantão!? Os conteúdos atualizados do Medclub prime podem te ajudar a obter ainda mais êxito na sua prática médica
Tratamento do abdome agudo obstrutivo
O tratamento da obstrução intestinal é, na maioria das vezes, cirúrgico. São indicações de cirurgia imediata a ruptura, sinais de isquemia e a obstrução total.
Entretanto, nas obstruções intestinais parciais pode-se realizar uma conduta expectante quando houver a presença de eliminação de gases e fezes. Essa deve ser associada a medidas de hidratação, sondagem intravesical de demora - a fim de monitorar o débito urinário - e a colocação de sonda nasogástrica para promover conforto e evitar a broncoaspiração.
Também é preciso realizar a antibioticoterapia de largo espectro que deve ser realizada profilaticamente. Indica-se o ciprofloxacino, na dose de 400 mg, via endovenosa de 12 em 12 horas, associado ao metronidazol endovenoso na dose de 500 mg de 8 em 8 horas. E mais, o uso de antieméticos, como a metoclopramida e a ondansetrona podem ser indicados.
Tratamento do fecaloma
Em casos que o indivíduo apresentar um fecaloma é possível realizar o tratamento com enemas repetidos e esvaziamento manual sob anestesia. Entretanto, em caso de obstrução alta, não se deve realizar a manobra manual, e a lavagem com solução glicerinada com soro morno através de sonda deve ser performada. Caso não haja sucesso, deve-se optar pelo tratamento cirúrgico com ressecção do sigmóide junto ao fecaloma.
Tratamento de volvo do sigmóide
Em casos em que há um volvo do sigmóide, o tratamento irá depender da presença ou não da necrose. Quando essa está ausente, opta-se pela realização da retossigmoidoscopia descompressiva. Entretanto, na presença de necrose, o tratamento a ser instituído deve ser a ressecção cirúrgica da alça necrosada.
Conclusão
O abdome agudo obstrutivo é um quadro comum e potencialmente grave. O reconhecimento do seu quadro, através de anamnese e exame físico detalhados, são fundamentais para uma possível recomendação de cirurgia precoce. O atraso do reconhecimento do seu quadro pode pôr em risco a vida do paciente e, por isso, é fundamental que todo médico generalista domine este quadro.
Continue lendo:
- Cetoacidose diabética: o que é, quadro clínico e tratamento
- Síndrome Hepatorrenal: modificações no diagnóstico
- Morte encefálica: conceito e diagnóstico
FONTES:
- ZATERKA, S., EISIG, J. N. Tratado de Gastroenterologia: da Graduação à Pós-Graduação. 2ª ed. São Paulo: Editora Atheneu, 2016.
- FAUCI, Jameson. et al. Medicina Interna de Harrison. Porto Alegre: AMGH, 2020.
+400 de aulas de medicina para assistir totalmente de graça
Todas as aulas são lideradas por autoridades em medicina.





.jpeg)
.jpeg)







.png)
